お気軽にTELかメールにて
お問合せ下さい。
TEL:082-511-1715 
Email:dental@zeon-net.com















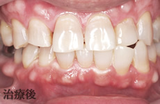
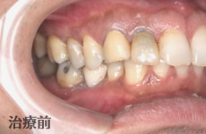
高級セラミックスで金属アレルギーともお別れ!
セラミックスを使用して白く美しい歯に!
さらに材質的、審美的に質の高い物をと希望される方に各種材料を取り揃えています。










ハイブリットインレー
\40,000
ハイブリットアンレー
\45,000
ハイブリットクラウン
\50,000
セラミックインレー
\75,000
セラミックアンレー
\80,000
メタルボンド
\80,000
オールセラミック(アルミナ)
\132,500
オールセラミック(ジルコニア)
\145,000
ホワイトニング 上顎のみ

上下顎(16本)
\20,000

\35,000



〒730-0017 広島市中区八丁堀12-22築地ビル5F

デンタルクリニック ゼオン
休診日/毎週月曜・第3日曜日
     (※土日診療アリ)
診療時間/10:00〜13:30・15:00〜20:00
TEL:082-511-1715

ヘアー ゼオン
定休日/毎週月曜・第3日曜日
営業時間/10:00〜20:00
TEL:082-962-5515